近日,山東一位 42 歲女子發視頻稱自己在 20 天內經歷了“斷崖式衰老”,“看上去像七十多的”,引發網友關注。
視頻中顯示,女子的臉部皺紋明顯,眼神憔悴,與 20 天前的自己形成了鮮明的對比。面對這樣的變化,女子表示,視頻沒有開任何特效和濾鏡,只是想素顏拍下來看看自己的樣子,這樣連續每天浮腫腫了快 20 天了,寢食難安。自己一直在看病,一直也有鍛煉身體,一直也在保養。
據最新消息,該女子自稱在醫院做了全身檢查,醫生診斷為卵巢早衰,無法逆轉。
網友們在評論區討論著“斷崖式衰老”的生理現象,也有網友表示自己也在經歷“斷崖式衰老”。
我們知道,卵巢是女性的性腺,負責排卵和分泌雌激素、孕激素和少量雄激素。它們管理月經周期,與女性的生殖功能、外表和身體健康密切相關。
對于女性來說,由于卵巢功能加速和下降,卵巢比其他器官衰老得更早,尤其是在35歲之后。卵巢功能衰竭是一個漸進的過程,從潛伏期發展到生化指標異常,再到臨床癥狀的出現,從卵巢儲備功能障礙(DOR)到早發性卵巢功能不全(POI),最終導致卵巢早衰(POF)。

正常的生理更年期應該在 49 歲左右。如果由于各種因素導致更年期提前,甚至在 40 歲之前,就意味著卵巢早衰。
01 什么是卵巢早衰?
卵巢早衰(POF)是指 40 歲之前女性因各種原因導致的卵巢功能衰竭,其特征是雌激素缺乏、促性腺激素水平升高和指標變化。這種情況主要表現為閉經或不孕。近年來,卵巢早衰有一種越來越年輕的趨勢。
目前全世界公認的卵巢早衰的診斷標準為:(1)年齡 <40 歲;(2)閉經時間 ≥6 個月;(3)兩次(間隔 1 個月以上)血 FSH>40mIU/ml。卵巢早衰的發病率在育齡女性中超過 1%,在原發性閉經女性中其患病率高達 10-28%,在繼發性閉經女性中約為 4-18%。患有卵巢早衰的女性在身體和精神上都受到嚴重影響。

卵巢功能障礙和結構衰老是導致其他女性生殖器官變化的根本原因。
從青春期、生殖期、圍絕經期到更年期晚期,卵巢的形態經歷了一系列動態變化。進入青春期后,卵巢逐漸發育成熟。在每個月經周期中,卵巢中大約有 3-11 個卵泡共同發育,但通常只有 1 個卵泡完全成熟并排出。
一個女人一生可以排卵大約 400 個卵子,在正常情況下,她每個月經周期會排卵一個卵子,持續大約 30 年。直到圍絕經期,雌激素水平下降,卵巢萎縮變小,排卵逐漸停止。
02 卵巢早衰的癥狀及危害
卵巢早衰會引起女性月經稀發,甚至還會導致閉經問題,少數患者會出現月經周期紊亂的現象,月經紊亂是女性卵巢早衰的重要線索,女性如果出現月經稀少的問題,建議到醫院做詳細檢查,這種情況可能是卵巢早衰造成的。
女性卵巢功能衰退,可引起不同程度的潮熱多汗、焦慮抑郁,心煩易怒等更年期綜合癥狀。女性如果出現這些異常變化,要警惕卵巢早衰問題。
卵巢早衰會引起皮膚松弛粗糙、皺紋色斑增多,乳房萎縮下垂,陰道干澀并且會伴有骨質疏松的情況,并且加快容顏的衰老。

提醒,懷疑自己卵巢早衰的女性,要趁早到醫院診斷。診斷分三個方面:性激素檢查、抗 AMH 檢查及超聲檢查。一旦確診卵巢早衰,需由醫生來制定適合患者本人的個性化治療方案,并需建立長期隨訪機制。
新聞中的女子遭遇“斷崖式衰老”的主要原因是卵巢早衰,這是因為皮膚上有激素受體,與卵巢分泌出的雌激素結合后,能維持正常的皮膚功能,而卵巢功能衰退后,雌激素水平下降,受體接受不到信號,會呈現出衰老狀態。
比起正常絕經,卵巢早衰會給女性帶來更多危害!有研究顯示,卵巢早衰的女性,除了會受到不孕不育的困擾,她們罹患心血管疾病、骨質疏松癥、老年癡呆等的風險將更高,而且這些疾病發生時間也會提前。
03 干細胞有望逆轉卵巢早衰
在臨床實踐中,常用的治療方法包括雌激素替代療法、促排卵療法、免疫抑制療法、卵子移植和 DHEA 療法。然而,結果很小,只有 5%-10% 的患者在積極治療后有望在短期內恢復卵巢功能甚至生育能力。
此外,這些臨床治療方法也有一定的局限性,如需要長期用藥和存在副作用。雖然它們可以緩解癥狀,促進生育,但不能從根本上恢復卵巢功能。因此,患者需要一種安全有效的治療方法。
近年來,隨著干細胞治療的發展,通過干細胞治療延緩甚至預防卵巢早衰成為可能。大量研究結果表明,干細胞可以恢復卵巢早衰婦女的生育能力,延緩更年期。
目前,中國共有 111 個干細胞臨床注冊項目獲得國家衛生健康委員會批準;婦產科干細胞臨床注冊項目多達 13 個,在所有疾病中排名第一。
04 案例報道
2018 年 3 月 18 日在芝加哥內分泌學會 100 周年年會上,一項干細胞療法治療年輕女性的卵巢功能不足(POI)研究成果正式公布,研究結果顯示:干細胞或能使因卵巢功能早衰而生育力下降的女性重新恢復生育能力,而且推遲患者進入更年期。

研究中有 2 名患者血清激素水平在注射干細胞后 3 個月開始顯著增加,效應至少維持了一年,她們的更年期癥狀也已經被完全消除!另外,也有 6 名參與者的月經周期也恢復了正常。
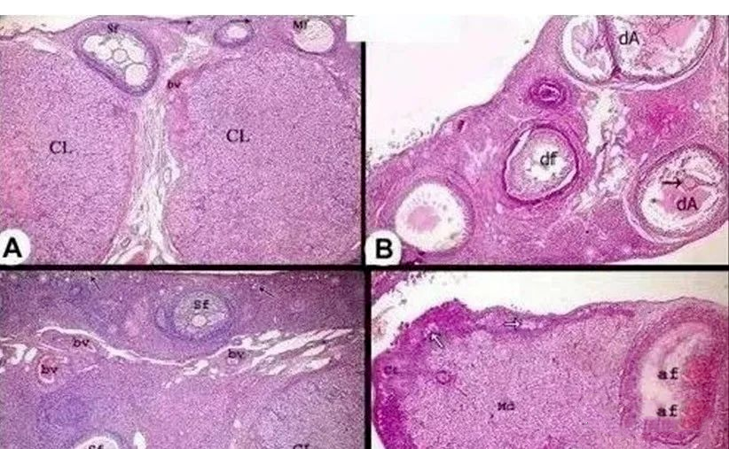
▲干細胞治療后,卵巢體積、各級卵泡數等都明顯增加
超聲成像結果顯示:接受治療的一側卵巢相比對照側卵巢體積有明顯增大,而且患者接受干細胞治療后也沒有出現明顯的副作用。
2018 年1 月,南京鼓樓醫院迎來了我國干細胞治療卵巢早衰臨床研究的首個健康寶寶,這也是全球首例干細胞復合膠原支架治療卵巢早衰臨床研究誕生的健康寶寶。

同年四川衛視報道過一個成功案例:18 名卵巢早衰患者參與了“臍帶間充質干細胞治療卵巢早衰”臨床試驗。其中 1 名 34 歲的卵巢早衰患者楊女士,在接受干細胞一個療程的治療后,楊女士便有了早孕反應,于 2017 年 7 月產下了一名 6 斤多的健康寶寶。這也是西南地區首個通過靜脈注射臍帶間充質干細胞成功治療卵巢早衰而誕生的“干細胞寶寶”。

干細胞具有歸巢的特性,可以遷移和定植在卵巢等受損區域。它們可以在器官中存活和生長,分化為卵巢細胞,替換和修復受損組織。同時,它們還分泌細胞因子抑制卵巢細胞凋亡,改善卵巢功能,增加卵泡數量,提高性激素水平。它們可用于治療卵巢早衰和不孕,并改善生殖系統衰老引起的一系列癥狀,實現由內而外的年輕態度。
專家指出,這項技術的受益者不僅是卵巢早衰患者,臨近更年期或有延緩卵巢衰老需求的正常女性也可以接受治療和早期干預。
免責聲明:我們尊重原創,也注重分享。圖文來源網絡,版權歸原作者所有,如涉及作品內容、版權或其它問題,請聯系我們刪除!


閩公網安備 35020602002648 號
QQ 客服