自然殺傷細胞已發展成為癌癥免疫療法的強大工具。特別是對于一線或維持治療失敗的患者,結合免疫治療等方法,取得了良好的治療效果。

在最新的呼吸系統醫學病例報告中,一名 61 歲的男性患者在晚期癌癥(IV 期)中表現出程序性細胞死亡配體1(PD-L1)表達。即使患者接受了標準治療,他仍然出現了新的病變。因此,患者接受了自體 NK 細胞治療、吉西他濱和貝伐單抗的聯合治療。NK 細胞從患者的外周血單核細胞(PBMC)中擴增,然后轉移回患者體內。用自體 NK 細胞治療 6 次后,原發轉移灶的大小顯著減小,生活質量顯著改善。
此外,聯合治療期間未報告副作用,造血系統、肝臟和腎臟也未觀察到毒性。該病例研究表明,該治療方案是 PD-L1 表達的晚期 NSCLC 的一種潛在治療方法。
免疫細胞治療已經取得了極其積極的初步結果。在這種療法中,免疫細胞從患者的外周血中分離出來,并在特定的培養基中培養,以擴大一個或多個細胞的數量,在最后一步,所有這些擴大的細胞都被輸回患者體內。這種療法可以靶向許多不同類型的免疫細胞,包括 NK 細胞。
最近,NK 細胞已經認識到它們在腫瘤免疫監測中的關鍵作用,通過破壞感染或轉化的細胞而不需要事先敏化。NK 細胞可以基于表面細胞上主要組織相容性復合體(MHC)I 類的異常表達水平在體內區分正常細胞和異常細胞。NK 細胞通過多種機制殺死癌癥細胞,如穿孔素和顆粒酶的釋放導致細胞凋亡、死亡受體的排列以及不同效應物的分泌。根據目前對 NK 細胞生物學和功能的理解,NK 細胞已發展成為癌癥免疫治療的強大工具。
病例報告:
2019 年 5 月,一名 60 歲男性患者,無吸煙史,有咳嗽、背痛和疲勞癥狀,被診斷為非小細胞肺癌癌癥。CT 顯示原發性腫瘤位于左上葉 31×1 mm,侵犯主動脈周圍縱隔組織??v隔內出現數個淋巴結,最大尺寸為 15×5 mm,右肺上葉有 7 個淋巴結顯示,大小分別為 4 mm 和 2 mm。CT 引導下的結節和腺癌經皮活檢通過組織病理學檢查(PHE)得到證實,病理分期為 T1N125M55a(IV 期)。腫瘤標志物 CA199 輕微升高,CA 和 CEA 之間的邊界正常。分子分析顯示 EGFR 沒有突變。由于病變較大,無法進行手術。

注:首次診斷時原發腫瘤的 CT 掃描檢查(A)。一線治療后原發腫瘤的 PET / CT 掃描檢查(3 個周期卡鉑 650mg(AUC5)加紫杉醇 300mg(175mg / m)2)與第三周期的放射治療聯合)(B)。
從 2019 年 6 月到 2019 年 12 月,患者接受了三個周期的聯合放療,其中卡鉑 650mg(AUC5)和紫杉醇 300mg(175mg/m2),第三個周期。癥狀已部分緩解,臨床和副臨床癥狀均有所改善?;颊叩恼娮影l射斷層掃描(PET)/CT 掃描顯示原發腫瘤的大小縮小(12×7 mm),腫瘤標志物值于 2019 年 12 月恢復正常。
盡管如此,該疾病在 2020 年 5 月繼續發展。PET/CT 掃描顯示原發性腫瘤大小為 28×29 mm,最大標準化攝取值(SUVmax)為 11.2,粘附在縱隔胸膜和主動脈上。此外,左側鎖骨上淋巴結的大小為 9×6 mm,左側門靜脈的一些小淋巴結大小小于 10 mm。

注:一線治療一年后疾病進展:原發性腫瘤(A),左鎖骨上淋巴結(B)。
PD-L1 表達陽性(25%),接受了四個周期的 Alimta(500mgx2)、卡鉑(150mgx2450mgx1)和 Cresida(4mlx2)的二線治療。然而,在 2020 年 6 月的 PET/CT 掃描中,他的病情似乎不穩定。由于疾病的進展,病人的治療計劃發生了變化。
轉變治療方案:輸注自體 NK 細胞,獲得新療效
2020 年 6 月,患者通過自體 NK 細胞輸注、吉西他濱和貝伐單抗聯合治療住院 6 次。入院時,患者沒有發燒,出現干咳和鈍性左胸痛,臨床結果正常,包括血液學和血液生化。

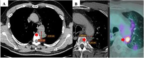
注:聯合治療前后的原發性腫瘤。原發腫瘤在二線治療(4 個周期的 alimta,卡鉑,可瑞達)后進展(A)。原發腫瘤在治療結束時與自體 NK 細胞療法,吉西他濱,貝伐珠單抗(B),3 個月后(C),6 個月(D)組合減少。
患者在 4 至 5 個月內、每 3 周內和在此期間每 3 周接受 6 個療程的自體 NK 細胞輸注。在此期間,患者在第 1 天和第 8 天(每 3 周 2 個周期)接受阿瓦斯?。?/span>400mg,每 3 周 2 個周期)聯合吉西他濱(1800mg)治療,干咳和胸痛癥狀消失。患者飲食良好,生活質量顯著提高。聯合治療期間未觀察到明顯副作用,肝腎功能評估在正常范圍內。
2021 年 3 月和 2021 年 9 月進行的 PET/CT 掃描顯示,與聯合治療前相比,原發腫瘤的大小顯著縮小。此外,兩側均未發現縱隔或鎖骨上淋巴結。

注:上圖為 NK 細胞治療的免疫表型監測?;颊邚?2020 年 6 月開始接受細胞治療?;颊呓邮?1 個療程(每個療程 4 次輸注)的 NK 細胞治療,持續 5.3 個月。

注:評估患者在治療前后的生活質量。A.生活質量:患者的一般情況好轉,癥狀急劇減輕。B.功能癥狀:6 次輸注后患者疼痛和咳嗽明顯減輕。

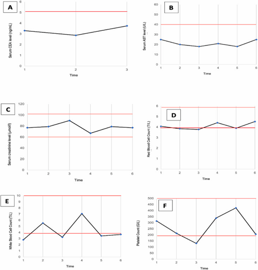
注:血液生化檢查。大多數生化標志物:CEA,AST,肌酸在 NK 細胞治療前后保持在正常杠桿。在治療期間的某些時候,讀取的血細胞,白細胞和血小板略低于正常水平。A.CEA;B.AST;C.肌酐;D.紅細胞;E.白細胞;F.血小板.
近幾十年來,免疫學和免疫療法在癌癥治療中的應用取得了重大進展。在新興療法中,自體 NK 細胞治療被認為是癌癥治療的有效方法,尤其是對癌癥。我相信,在不久的將來,自然殺傷(NK)細胞已發展成為癌癥免疫療法的強大工具,這將使更多一線或維持治療失敗的患者受益。
免責聲明:我們尊重原創,也注重分享。圖文來源網絡,版權歸原作者所有,如涉及作品內容、版權或其它問題,請聯系我們刪除!


閩公網安備 35020602002648 號
QQ 客服