干細胞是一種未充分分化、尚未成熟的細胞,具有再生多種組織和器官的潛力,醫學上稱之為“萬用細胞”。
干細胞之所以被稱為“萬能細胞”,這依賴于干細胞的多向分化機制,干細胞擁有分化成為任何一個細胞的能力,通過分化成不同的細胞,繼而可以組成各類器官和組織。
注:間充質干細胞分化成的不同細胞,組成了我們身體內的器官和組織
干細胞到底能變成哪些細胞?
我們的人體本身是由干細胞——胚胎干細胞產生的。
此外,在成年人中,干細胞每天都在分化成肌肉、骨骼、器官、神經和血液……可以說,沒有干細胞,人體組織就無法修復。
MSCs 是目前應用最多的干細胞(MSCs)以多向分化為特征的細胞類型:
軟骨細胞
間充質干細胞可以分化成軟骨細胞,修復軟骨磨損和其他關節損傷,從而減輕關節炎癥。
如下圖所示,蘇木精&伊紅染色顯示間充質干細胞可以在體外滲透膜生物材料上逐漸分化為軟骨細胞。隨著分化的推進,軟骨組織的細胞厚度逐漸增加,從單層到四層,然后依次增加。
肌腱細胞
間充質干細胞可以分化成肌腱細胞,修復肌腱組織,并作為新的生物材料治療肌腱損傷、撕裂和其他疾病。
如下圖所示,由肌腱轉錄因子 Scx(hMSC-Scx)刺激的 MSCs 可在體外分化為肌腱組織,在細胞形狀、細胞分布和細胞數量上與正常肌腱祖細胞 hTSPC 非常相似。即使在分化 6 周后,來自間充質干細胞的肌腱細胞在肌腱延長方面具有更大的優勢。圖 A 顯示了來自兩個來源的肌腱的外觀,圖 B 顯示了蘇木精&伊紅染色下觀察到的細胞核和細胞質形態,圖 C 顯示了細胞骨架的染色結果,圖 D 顯示了軟骨細胞的染色結果。

肺細胞
間充質干細胞可以間接分化為肺芽細胞,然后進一步分化為氣管和肺泡中的肺細胞,修復肺組織中受損細胞,改善呼吸,重塑健康。
如下圖所示,圖 A 是間充質干細胞在 3F 培養基(FGF7,GSK-3 抑制劑,RA)刺激和培養后分化為“類肺器官”的概念過程,圖 B 是刺激后逐漸形成肺芽細胞的過程,圖 C 檢測分化的肺芽細胞表面的標記蛋白 Nkx2.1 和 Sox2。結果顯示,如圖 D 所示,分化的肺芽細胞沒有干細胞標記物,其中近 97%是肺細胞的特征。
上皮細胞
間充質干細胞可以分化為上皮細胞和表皮組織,從而促進傷口愈合、深層皮膚修復和改善皮膚狀況。
如下圖所示,當在紫外線(UVB)照射小鼠造成皮膚損傷后,將間充質干細胞(ADSC)注入尾靜脈 2-6 周時,小鼠上皮細胞表面的 P63、A6 整合素、CD34 蛋白等與間充質干細胞的共定位增強,提示間充質干細胞可促進小鼠皮膚損傷后上皮細胞的分化。
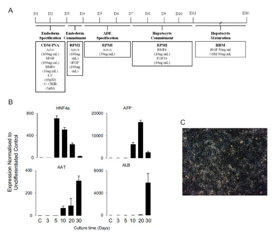
肝細胞
間充質干細胞可分化為肝細胞,有助于在急慢性肝損傷中恢復肝細胞活力,改善脂肪肝和肝纖維化狀態,從而預防肝硬化甚至肝癌的發生。
如下圖所示,圖 A 列出了間充質干細胞在體外分化為肝細胞的步驟和條件,主要是一些因素的參與,如 Activin-A(人激活素 A)、BMP4、FGF 和 WNT 信號通路的激活。圖 B 檢測到分化后的細胞表面標志物,可以看出一些肝細胞的標簽蛋白(HNF4A、AFP、AAT、ALB)的含量確實顯著增加,這證明肝細胞確實分化,圖 C 顯示分化的肝細胞。
神經細胞
間充質干細胞可以分化為神經細胞,修復神經系統功能障礙,是治療帕金森病等神經退行性疾病的最佳方式。
如下圖所示,當間充質干細胞在特殊的“NDM(神經分化基質培養基)”中培養時,來自不同來源的 MSC 可以分化成具有神經突觸形態的新細胞,這與原始梭形細胞不同。
血管內皮細胞
間充質干細胞可分化為血管內皮細胞,不斷生長的血管可增加血管彈性和血管通透性,從而改善血管微循環,防止血管老化。
如下圖所示,它記錄了間充質干細胞在體外分化為血管的整個過程。3D 透視圖顯示了在 VEGF-A(血管內皮生長因子)、FGF-2(成纖維細胞生長因子)、BMP-4(骨形態發生蛋白)和 WNT 信號通路激活的刺激下,間充質干細胞從萌芽的新血管逐漸形成血管網絡的能力。圖 E 還顯示了間充質干細胞分化失敗的結果以供比較。
胰島β細胞
間充質干細胞可分化為胰島 β 細胞,可分泌唯一能智能調節和控制人類血糖穩定性的胰島素,使 I 型糖尿病患者擺脫終身注射胰島素的痛苦,完全治愈。
如下圖所示,圖 A 顯示,當用 STZ(鏈脲菌素)成功構建 I 型糖尿病小鼠模型時,與正常小鼠相比,小鼠不能分泌胰島素(綠色染色)。此時,如果將 MSCs(CO-transplantation)移植到 I 型糖尿病小鼠中,如圖 B 所示,可以看出,在患病小鼠中胰島素分泌能力恢復。

腎小球
間充質干細胞可以分化成腎小球,從而幫助身體過濾血液,定向修復腎細胞,緩解腎虛等癥狀。
如下圖所示,與對照組相比,尾靜脈輸注間充質干細胞(ADR+MSCs)可使腎損傷大鼠腎小球管腔壁上層細胞、足細胞和內皮細胞再生,從而修復腎小球,恢復腎功能。
心肌細胞
間充質干細胞可分化為心肌細胞,促進心肌細胞內源性修復,改善心肌功能,治療心肌缺血、心力衰竭等心臟病。
如下圖所示,在體外成功觀察到間充質干細胞對大鼠心肌細胞的再生和修復過程。在圖中,藍色 DAPI 染色代表細胞核,紅色 aSarc 蛋白染色代表心肌細胞,紅色 HuNu 蛋白染色代表間充質干細胞。圖 A 顯示了間充質干細胞的未分化狀態,圖 C 和圖 D 顯示了間質干細胞分化的開始,圖 E 和圖 F 顯示了隨著時間的推移越來越多的間充質干細胞分化為心肌細胞的狀態。

多向分化機制能夠幫助干細胞治療哪些疾病

作為一項新興的醫療技術,許多人對干細胞可以治療哪些疾病的了解非常有限。事實上,干細胞廣泛應用于臨床應用,這也代表了未來醫學發展的趨勢。
目前,充分的科學研究已經證明,間充質干細胞可以通過一個種子的多向分化機制再生和修復多種細胞,其可用于改善或治療心腦血管疾病、腎功能不全、I 型糖尿病、神經退行性疾病、肝功能不全皮膚損傷、肌腱損傷、骨關節炎等疾病。
相信隨著醫療技術的不斷發展,干細胞必將引發醫療改革,成為繼藥物和手術之后的第三種治療。
免責聲明:
我們尊重原創,也注重分享。圖文來源網絡,版權歸原作者所有,如涉及作品內容、版權或其它問題,請聯系我們刪除!


閩公網安備 35020602002648 號
QQ 客服